Đến các nhà khoa học cũng phải nhận định phụ nữ thật khó hiểu, phức tạp hơn ta tưởng rất nhiều.
Theo một nghiên cứu được thực hiện bởi Đại học Seattle và Trung tâm Nghiên cứu Ung thư Fred Huntchinson, thì phụ nữ lưu giữ và mang theo ADN của mọi người đàn ông mà cô ấy từng có quan hệ tình dục.
Đây hoàn toàn là một khám phá ngẫu nhiên. Các nhà khoa học lúc ấy đang tìm cách xác định xem nếu người phụ nữ đang mang thai con trai, thì liệu đứa con ấy có mắc căn bệnh thần kinh thường thấy trên nam giới không.

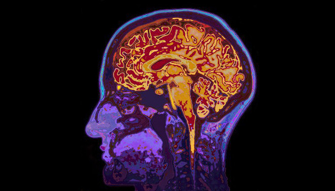
Não bộ người phụ nữ bí ẩn hơn ta tưởng nhiều.
Nhưng khi nghiên cứu não bộ người phụ nữ, nghiên cứu này bắt đầu đi theo một chiều hướng hoàn toàn khác: Hóa ra não bộ người phụ nữ bí ẩn hơn ta tưởng nhiều. Ta vẫn biết phụ nữ khó hiểu, nhưng hóa ra mọi thứ không chỉ dừng lại tại đó.
Các nhà khoa học tìm ra rằng não bộ người phụ nữ thường xuất hiện hiện tượng “vi chimera nam giới – male microchimerism”, về cơ bản, thì là có sự xuất hiện của ADN nam giới đến từ một cá nhân khác, có dấu hiệu gene khác biệt với toàn bộ các tế bào khác trong cơ thể người phụ nữ.
Theo nghiên cứu trên, thì có tới “63% phụ nữ được thử nghiệm (37 trên 59 người) có hiện tượng vi chimera nam giới trong não. Hiện tượng này xuất hiện ở nhiều phần của não bộ”.

Hiện tượng vi chimera nam giới xuất hiện ở nhiều phần của não bộ.
Tế bào ADN của nam giới có thể tới từ đâu được? Không thể tới từ cha của cô gái đó, bởi lẽ ADN của cha kết hợp với ADN của mẹ để tạo ra ADN đặc biệt, duy nhất của một cá thể. Vậy ADN này có thể tới từ đâu?
Qua nghiên cứu này, các nhà khoa học cho rằng ADN có trong não người phụ nữ có từ việc mang thai một bé trai. Đó là một kết luận an toàn và không làm phật lòng ai. Tuy nhiên, chính những nhà khoa học này cũng không hoàn toàn tin tưởng vào những gì mình đã kết luận.
Họ suy nghĩ như vậy là vì khám nghiệm cho thấy não bộ của những người phụ nữ chưa từng có thai, chứ chưa nói tới mang thai bé trai, cũng vẫn cho thấy dấu vết của tế bào ADN từ nam giới. Họ đưa ra kết luận cuối cùng, đưa ra 4 nguồn tế bào ADN nam giới có thể được đưa vào cơ thể người phụ nữ:

Tế bào ADN của nam giới xuất hiện trong cơ thể người phụ nữ nhiều khả năng là tới từ việc quan hệ tình dục.
Cuối kết luận, các nhà khoa học nói rằng cần thêm những nghiên cứu nữa để xác định nguồn gốc của hiện tượng vi chimera nam giới này.
Ta có con số 63% phụ nữ được thử nghiệm có hiện tượng này. Trong 4 khả năng trên, 3 cái đầu rất khó xảy ra, nên con số 63% quả thực là khó đạt được. Vậy ta còn khả năng thứ 4: tế bào ADN của nam giới xuất hiện trong cơ thể người phụ nữ nhiều khả năng là tới từ việc quan hệ tình dục.
Những người phụ nữ tham gia thử nghiệm này đều lớn tuổi. Có người đã mang ADN của nam giới trong mình tới hơn 50 năm.
Ngẫm nghĩ một chút thì điều này cũng hợp lý. Tinh trùng là những tế bào sống. Khi đi vào cơ thể theo bất kì cách gì, tình trùng cũng đều có thể bơi được, đi vào máu và cuối cùng là được lưu lại trong não bộ người phụ nữ.
Nhưng có vẻ không phải ai cũng vậy. Thử nghiệm cho thấy chỉ 63% nữ giới xuất hiện hiện tượng vi chimera nam giới cơ mà!
Nhưng vẫn có thể kết luận lại là phụ nữ thật khó hiểu, cả tâm trí, tâm lý và cả cơ thể của họ.
Lan tỏa tri thức
Chia sẻ bài viết này để cộng đồng cùng nắm bắt xu hướng công nghệ tương lai.